


عيادة أسنان ترودنت...رعاية متكاملة
مرحبًا بكم في مركز TrueDent! إذا كنتم تبحثون عن عيادة أسنان متكاملة في صبيا، نوفر لكم رعاية احترافية ومريحة باستخدام أحدث التقنيات لضمان ابتسامة صحية وجميلة.
نقدم جميع خدمات طب الأسنان، من العلاجات الروتينية مثل التنظيف والحشوات، إلى التجميل المتقدم كالتبييض والفينير، بالإضافة إلى زراعة الأسنان، تقويم الأسنان، وعلاج اللثة.
ولراحتكم، نوفر خدمة الكشف المنزلي وفريقنا يحرص دائمًا على تقديم أفضل تجربة ونتيجة ممكنة.
+6000
عميل
30 خدمة
الخدمات
15 عاما
الخبرة
خدمات ترودنت
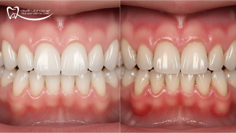
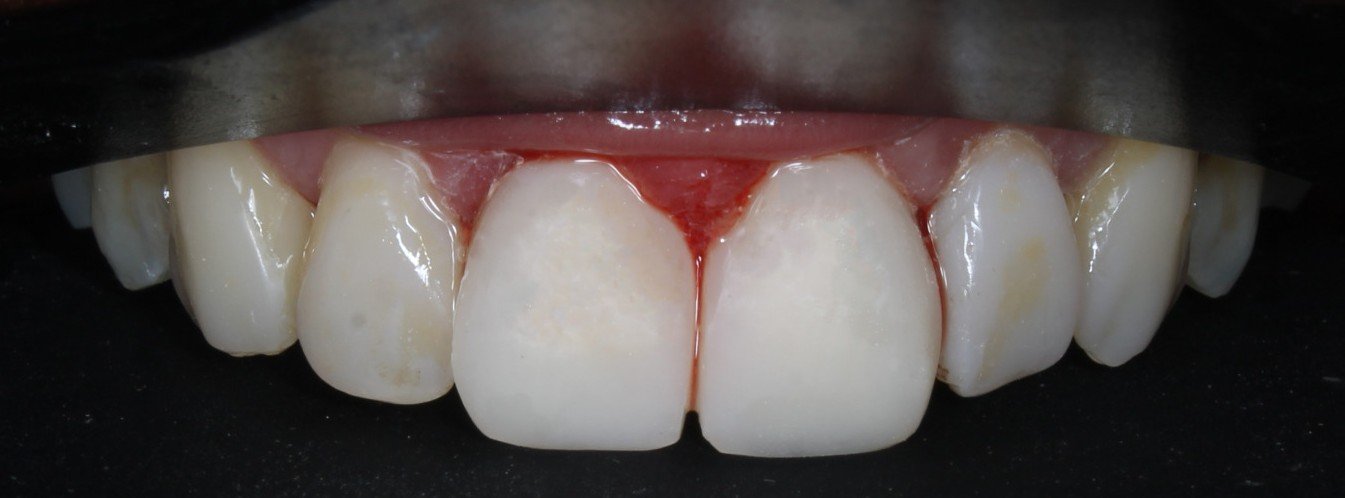
حشوة تجميلية
علاج اللثة
تراكيب الأسنان (بور سلاين + زيركون)
التيجان والكسور
أسنان الأطفال
تبييض الأسنان بتقنية الزوم
حشوة تجميلية
١- اذا كان السن متسوس يتم إزالته و تعويض الجزء المفقود من السن بالحشوة التجميلية
٢- اذا كان السن يحتاج إلى تجميل فقط فيتم وضع الحشوة التجميلية بالشكل المناسب لكل سن
علاج جذور
سحب عصب السن المتضرر من التسوس و إزالة البكتيريا وتنظيف القنوات الجذرية بعناية وتجهيز القنوات الجذرية لاستقبال المواد المعقمة و الحشوة المناسبة
خلع الأسنان
خلع الأسنان المتضررة التي لا يمكن علاجها
تراكيب الأسنان (بور سلاين + زيركون)
أسنان تصنع حسب حالة الشخص و احتياجه و منها :- التركيبة المتحركة و التركيبة الثابته و زراعة الأسنان
هل ترغب في حجز موعدك الآن؟
لماذا تختار عيادات ترو دنت للاسنان
التكنولوجيا الأكثر تقدمًا للحصول على أفضل النتائج
علاج الخوف والفوبيا من طبيب الاسنان
صالة ألعاب للأطفال
التعقيم
المقالات
تورم اللثة حول الضرس: الأسباب وطرق العلاج ومتى يجب زيارة طبيب الأسنان مع مركز TrueDent؟
إذا حسّيت بألم مفاجئ أو انتفاخ مزعج في فمك، فغالبًا أول شي يخطر ببالك هو تورم اللثة حول الضرس. المشكلة
كيف اعرف اذا التسوس وصل للعصب؟ دليلك الشامل في مركز TrueDent
كثير ناس يجونا وهم قلقانين ويسألون كيف اعرف اذا التسوس وصل للعصب خصوصًا إذا الألم صار قوي أو مستمر. الحقيقة
تعرف علي سبب الم الاسنان عند شرب الماء البارد, طررق الوقاية و كيفية علاجة مع مركز TrueDent
كثير من الناس يشتكون من عدم معرفة سبب الم الاسنان عند شرب الماء البارد وما يعرفون وش المشكلة الحقيقية وراء
كيفية التخلص من رائحة الفم الكريهة بطرق طبيعية نهائيًا في رمضان– دليل شامل من مركز TrueDent
كيفية التخلص من رائحة الفم الكريهة بطرق طبيعية في رمضان صارت هاجس عند كثير من الناس، خصوصًا مع ساعات الصيام
اسباب جفاف الفم اثناء الصيام: الأسباب الشائعة وطرق العلاج مع خبراء TrueDent
مع دخول شهر رمضان، كثير ناس يلاحظون تغيّر في إحساس الفم، وأبرزها موضوع اسباب جفاف الفم اثناء الصيام اللي يسبب
الفيتامين المسؤول عن الأسنان: دليلك الكامل لصحة أسنان أقوى مع مركز TrueDent
كثير ناس يعتقدون إن تنظيف الأسنان بالفرشاة والمعجون يكفي عشان نحافظ على ابتسامة صحية، لكن الحقيقة أعمق من كذا. الفيتامين
كيف تحافظ على اسنانك من التسوس في شهر رمضان؟ مع مركز True Dent
شهر رمضان المبارك يغيّر كثير من تفاصيل يومنا، من مواعيد النوم إلى نوعية الأكل وعدد الوجبات، ومع هالتغيّر يبدأ كثير
احمرار اللثة حول السن: الأسباب وطرق العلاج في ترودنت
احمرار اللثة حول السن من المشاكل اللي كثير من الناس يواجهونها يوميًا، وممكن يكون مؤشر على مشكلة أكبر في الفم
هل نقص الكالسيوم يسبب اصفرار الأسنان؟ أطباء Truedent يوضحون الحقيقة
كثير من الناس في السعودية يهتمون اليوم بصحة أسنانهم أكثر من أي وقت مضى، يحرصون على التفريش اليومي، يستخدمون أفضل
هل يمكن استرجاع مينا الأسنان طبيعيا؟ دليل شامل من مركز ترودنت
كثير من الناس اليوم يبحثون عن طرق آمنة وفعّالة لـ استرجاع مينا الأسنان طبيعيا بدون تعقيد أو إجراءات مرهقة، خصوصًا









