Blog
18
يناير
خطوات ترميم الأسنان الأمامية للاطفال في مراكز الأسنان: من التشخيص إلى العلاج، نصائح للرعاية اليومية، وأحدث التقنيات لضمان نتائج آمنة وجميلة
هل تعرض طفلك لكسر أو تسوس في أسنانه الأمامية؟هل لاحظت حرجاً منه أو عدم رغبته في الابتسام ب...
17
يناير
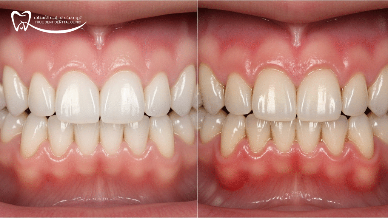
كل ما تحتاج معرفته عن بياض اللثة حول الأسنان: الأسباب الطبية، التشخيص المبكر، وأحدث طرق العلاج للحفاظ على صحة فمك
لطالما ارتبطت صحة الفم الجيدة بلثة وردية زهرية ذات مظهر قوي ومتماسك. ولكن ماذا لو لاحظت ظه...
15
يناير
علاج نزيف اللثة المستمر خطوة بخطوة: نصائح عملية، التقنيات الحديثة لإيقاف النزيف، وأهمية متابعة طبيب الأسنان بانتظام
لو كنت تلاحظ نزيف اللثة المستمر أثناء تفريش أسنانك أو حتى تلقائياً، فاعلم أن هذه ليست مشكل...
12
يناير
دليل شامل للتخلص من تصبغات الأسنان السوداء: من العادات اليومية المسببة للتصبغات إلى خيارات التبييض
هل فقدت ثقتك في ابتسامتك بسبب وجود تصبغات الأسنان السوداء المزعجة؟ هل جربت كل الطرق المنزل...
10
يناير
دليل شامل للتعامل مع ألم في الفك العلوي من الأسنان: من التسوس والتهاب اللثة إلى مشاكل المفصل الصدغي الفكي ونصائح العناية اليومية
لو كنت تعاني من ألم في الفك العلوي من الأسنان، فأنت تعرف كم هو شعور مزعج قد يؤثر على نومك،...
07
يناير
خلع جميع الأسنان وتركيب طقم الأسنان الكامل: الأسباب الطبية، مراحل العلاج، الفرق بين الطقم التقليدي والزراعة
قرار خلع جميع الأسنان وتركيب طقم ليس قراراً سهلاً، ولكنه قد يكون الحل الأمثل والأكثر سلامة...
04
يناير
أنواع تلبيسات الأسنان الزيركون: الدليل الشامل للتعرف على الأنواع والفرق بينها وأفضل استخدام لكل حالة
يا مرحبا والله بكم في عالم الابتسامة المثالية! لو ناوي تعيد الحياة لابتسامتك وتفكر في تلبي...
31
ديسمبر
دليل اختيار افضل انواع زرعات الاسنان مع مقارنة بين أشهر الخيارات
فقدان الأسنان ما عاد مجرد مشكلة شكلية، بل صار موضوع صحي يؤثر على جودة الحياة، الثقة بالنفس...
29
ديسمبر
هل تبييض الاسنان بالزوم يستحق التجربة؟ كل ما تحتاج معرفته عن الفوائد, النتائج و الأمان
إذا كنت تبحث عن ابتسامة بيضاء ولامعة بدون تعب طويل، فأكيد سمعت عن تبييض الاسنان بالزوم. ال...
20
ديسمبر
طرق فعّالة وآمنة لتسكين الم الاسنان للحامل بدون أضرار على الجنين
تعرفين كيف تسكين الم الاسنان للحامل مع مركز TrueDent، الألم مو بس مزعج، لكنه أحيانًا يسبب ...